入れ歯にお悩みがある方へ
私たちの手が加わることで、今までしっかり噛むことができなかった入れ歯が「噛みやすい入れ歯」に生まれ変わります。それにより、患者様の生活が豊かになり、「食事」の楽しみが大きく向上する。このような入れ歯製作は非常にやりがいを感じます。
私たちは「自分がされて嬉しい治療」、「家族にしてあげたい治療」という想いを持ちながら、日々診療を行っています。ここでは、当院の入れ歯が患者様から高く評価される理由をご紹介します。
失敗しない入れ歯作りの提案
入れ歯は丁寧に時間をかけて作ることで、良いものが出来上がります。良い入れ歯を作るためには、私たちの技術が重要ですが、患者様の協力も欠かせません。良い入れ歯を作るには、診査や診断、型取り、噛み合わせの採取など多くの工程が必要だからです。
この協力をいただければ、私たちは心を込めて、患者様に満足いただける適切な入れ歯を作り上げることをお約束します。
患者様に支持される「理由」
私たちの手が加わることで、今までしっかり噛むことができなかった入れ歯が「噛みやすい入れ歯」に生まれ変わります。それにより、患者様の生活が豊かになり、「食事」の楽しみが大きく向上する。このような入れ歯製作は非常にやりがいを感じます。
私たちは「自分がされて嬉しい治療」、「家族にしてあげたい治療」という想いを持ちながら、日々診療を行っています。ここでは、当院の入れ歯が患者様から高く評価される理由をご紹介します。
一つ一つの工程を省略することなく、基本に忠実に
入れ歯を使用されている方からよく「痛い」「噛めない」「外れる」といったお悩みを聞きますが、これらは「1つ1つの工程を省略せず、基本に忠実に入れ歯を作る」ことで解消できます。
まずは精密な型取りが非常に重要で、入れ歯の仕上がりはこの段階で決まります。型取りは、お口の型を取る工程であり、ここがしっかりしていないと患者様に合う入れ歯は作れません。そこで当院では、精密な型取りを行うため、次のような工程を踏んでいます。
保険外治療のみ
シリコン印象材の利用
印象材といわれる型取りに使用する材料は、主に2種類あります。当院ではより精密に型を取ることができるシリコン印象材を使用しています。
保険外治療のみ
個人トレー
患者様のお口の形に合わせて、規格外のオリジナルトレーを作製し、精密な型を取ります。
ティッシュコンディショニング
食事をしたり、お話をしたり、運動をしたりする際、お口の状態や動きはそれぞれ異なります。どんな場面でも快適に入れ歯を使用していただくためには、ただの型取りだけでは不十分です。これを解決するために当院では、「ティシュコンディショニング」という工程を取り入れています。
この工程は、現在使っている入れ歯に特別な素材「ティッシュコンディショナー」を装着するもので、一定期間その入れ歯を使っていただきます。そうすることで、日々の生活の中でお口の動きや舌の動き、噛み癖などが反映されます。その情報をもとに新しい入れ歯を作成するので、様々な場面で快適に使用できる入れ歯が完成します。この工程は「良い入れ歯」を作るために非常に重要です。
年齢による「噛み合わせの変化」も
考慮した入れ歯作り
お口の状態は年齢を重ねるごとに変化するため、この変化を考慮した入れ歯作りがとても大切です。変化するのは「歯」だけでなく、「歯茎」や「噛み合わせ」、「筋肉の動き」なども含まれます。これらの状態を無視して入れ歯を作ると、患者様に満足いただける入れ歯は作れません。
当院では、特に「噛み合わせ」に関して重要な取り組みを行っています。噛み合わせのバランスが取れていないと、入れ歯が「外れる」「痛い」「噛めない」といった問題を引き起こします。これらを解決するために、患者様の噛み合わせをしっかりと調整し、最適な入れ歯を提供しています。
willis法

これは、歯科での入れ歯や補綴治療において、噛み合わせを調整するための方法の一つです。具体的には、「目のライン」「鼻のライン」「唇のライン」が直線になるように噛み合わせを調整します。この方法によって、噛み合わせが改善されるだけでなく、顔全体のバランスも整い、さらに噛み合わせが原因で生じていたシワやタルミも改善されます。
「多種類」の入れ歯をご用意
入れ歯に関するお悩みは「見た目が気になる」「痛みが我慢できない」「外れやすい」など患者様によって異なります。現代の入れ歯は、素材や性能に多くのバリエーションがあり、患者様のニーズやライフスタイルに合わせて選ぶことができます。当院では、保険の入れ歯だけでなく、効果が実証されているさまざまな種類の入れ歯をご提供しています。
若い人も愛用の「審美」入れ歯

痛みを感じにくい入れ歯

自分の歯のように咬みやすい入れ歯

歴史と安定性がある入れ歯

若い人も愛用の
「審美」入れ歯
ノンクラスプデンチャー

女性の方からよく聞かれる入れ歯のお悩みは、「金属のバネが見えるのが嫌」というものです。笑ったときに金属のバネが見えてしまい、人前で笑えないという方も多いのではないでしょうか。そこで当院では、金属のバネがない「ノンクラスプデンチャー」を推奨しています。
この入れ歯は、入れ歯を固定する部分が金属ではなく、ピンク色の樹脂なので、人前で話していても気づかれにくい点が特徴です。さらに、柔らかい樹脂でできており、お口にぴったりと装着できるため、従来の金属による痛みも軽減されます。
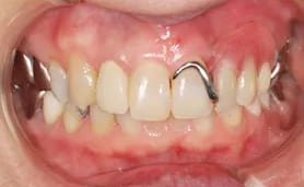
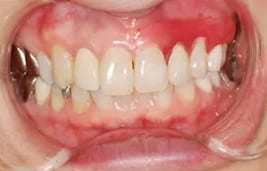
ノンクラスプデンチャーを用いた症例
Before


After


エステショット

エステショットは、「調整や修理がしやすい」「劣化しにくい」「噛みやすい」のが特徴のノンクラスプデンチャーです。審美性と機能性の両立を求める方におすすめです。
スマイルデンチャー

「入れ歯の装着感が苦手」「前歯が欠損している」という方には、スマイルデンチャーが適しています。通常のノンクラスプデンチャーより薄い素材で作られているため、付け心地がよく、笑ったときにほとんど目立たないというメリットがあります。
バルプラスト

バルプラストは、歯科先進国であるアメリカで50年以上の歴史がある入れ歯です。その実績から、多くの歯科医師と患者様から高い評価があり、使い心地の良さが証明されています。
オプションのご紹介
ノンクラスプデンチャー+金属

「ノンクラスプデンチャー+金属」は、ノンクラスプデンチャーの耐久性の欠点を補う組み合わせです。目立たない部分に金属部品を使用することで、使い心地はそのままに、耐久性をしっかり確保します。
ノンクラスプデンチャー+シリコン

耐久性と付け心地をさらに追求するなら「ノンクラスプデンチャー+シリコン」がおすすめです。強度と弾力性に優れたシリコンをノンクラスプデンチャーの裏側に貼り付けることで、固いものもしっかり噛めるようになります。
「痛み」を感じにくい入れ歯
シリコンデンチャー

「入れ歯で噛むと痛い」という方には、シリコンデンチャーをおすすめします。入れ歯と歯茎の接触による痛みが生じにくく、吸着力が優れているため、顎の骨が痩せている方でもズレにくいという特徴があります。クッション性が抜群で、従来のノンクラスプデンチャーにはないフィット感と付け心地があり、総入れ歯にも対応可能です。