歯の病気を未然に防ぐ
「予防歯科」
メンテナンスについて
日本では多くの人が「歯医者は歯が悪くなってから行くところ」と考えており、予防に対する意識が十分に広まっていません。例えば、以下のような考え方が一般的です。
- 歳をとれば歯がなくなるのは仕方がない
- 虫歯や歯周病になるのは避けられない
- 将来入れ歯になるのが当たり前
これらは日本特有の認識であり、実は誤った考え方です。なぜなら、虫歯や歯周病は、定期的に歯科医院でメンテナンスを受けることで防げる可能性が高くなるからです。
実際、欧米では虫歯や歯周病の予防意識が非常に高く、80~90歳になっても自分の歯が20本以上残っている人が多くいます。これは、日頃から自宅でのケアに加え、歯科医院で定期的なメンテナンスを受けているからで、彼らにとって「高齢になっても自分の歯で食事を楽しむこと」は当たり前のことなのです。
このように「治療のための歯医者」から「予防のための歯医者」へ意識を変えることで、歯の健康を守り、高齢になっても自分の歯で食事を楽しむ生活を目指しましょう。
予防歯科に対する意識

グラフは、日本、イギリス、アメリカ、スウェーデンの4カ国における「定期検診を受けている割合」と「80歳時点で残っている歯の本数」の比較結果を示したものです。このように、日本での80歳の残存歯数は、平均でわずか8本という結果でした。また、定期的に歯の健診やクリーニングを受けている人の割合もわずか2%しかおらず、予防歯科に対する意識の低さがうかがえます。
一方で、予防歯科が進んでいるスウェーデンでは、90%の人が定期検診を受けており、80歳になっても平均20本の歯が残っています。歯科医院での定期的なメンテナンスによって、虫歯や歯周病を未然に防ぎ、高齢になっても自分の歯で食事を楽しむことができるのです。
「いくつになっても自分の歯で
食べられるように」
当院では、「いくつになっても自分の歯で食べられるように」という目標を掲げ、予防歯科に力を入れています。「定期検診を受ける」ことは、「歯を守ること」そのものです。虫歯や歯周病を予防することが当たり前になるよう、これからも患者様に予防歯科の大切さをお伝えし、歯を一生守るためのサポートを続けていきたいと考えています。
さらに、未来ある子どもたちにも予防歯科の大切さを伝えていくことも重要です。当院では治療後の「予防歯科会員制度」を設けており、会員の方にはさまざまな特典をご用意しています。興味がある方は、ぜひお気軽にお問い合わせください。
当院の予防処置の
「考え方」と「体制」
体制1
「治療の終わりは新たなスタート」お口の健康を守るために
当院では、治療が終わった時点を「ゴール」ではなく、「スタートライン」と考えています。まずは「なぜ治療が必要な状態になったのか」を考え、その原因を追究・排除することが重要です。そして、再発を防ぐためには歯科医院でのサポートだけでなく、患者様ご自身に、お口の健康に関して意識しを持っていただく必要があります。
お口の健康を長く保っている方は、歯の重要性をしっかり理解し、ご自宅でのケアを丁寧に行っています。そして、「歯科医院は治療だけでなく、健康を維持するためのチェックやクリーニングを行う場所」として活用されています。
歯科医院は、「歯を治す場所」であると同時に、「歯を守る場所」です。私たちはこの考えを共有できる患者様と共に歩みながら、健康な歯を守り続けるためのお手伝いをしたいと考えています。
お口の健康を通じて、皆様が毎日笑顔で過ごせるようサポートすること。それが私たち歯科医療従事者の使命であり、やりがいです。
体制2
「担当制」で患者様に寄り添う
予防治療のご提案
当院では、予防処置には「計画的な管理」「患者様のライフスタイルの把握」「信頼関係」が重要だと考えています。
そのため、当院では一人ひとりの患者様に専属の歯科衛生士がつく「担当制」を導入しており、信頼関係を築きながら患者様が安心できる環境づくりを大切にしています。また、歯のクリーニングやブラッシング指導だけでなく、患者様の食生活や習慣を把握し、食生活改善のアドバイスも行っています。
さらに、歯科医師と歯科衛生士がしっかり連携することでより効果的な治療を提供し、患者様に安心して治療を受けていただけるよう、質の高いサポートを心がけています。
体制3
「セルフケア」と「定期検診」の両輪で守る歯の健康
虫歯や歯周病を予防するには「ご自宅でのセルフケア」と「歯科医院でのクリーニング」の両方が不可欠ですが、特に重要なのが日々行うセルフケアで、患者様自身が適切なブラッシングを行うことが予防の鍵を握ります。しかし、多くの方は「磨いた」という行為に満足し、実際には汚れが落ちていないことが少なくありません。歯ブラシを比較した研究によると、歯ブラシの種類による清掃効果の差はほとんどなく、歯磨きの成果は患者様自身のブラッシング技術にかかっているという結果が出ています。
当院では、虫歯や歯周病を予防するための正しいブラッシング方法をお伝えしています。「バス法」「フォーンズ法」「縦磨き」など、患者様一人ひとりの口腔内環境に合った方法をご提案し、さらに歯間ブラシやデンタルフロスなど補助的清掃具の使い方や食生活の改善についてもアドバイスします。また、ライフステージの変化による口腔内の状態の変化に合わせ、使用する清掃具やケア方法の見直しも行っています。
毎日のセルフケアを習慣化し、歯科医院での定期検診と併せて行うことで、歯の健康をしっかり守りましょう。
「根本改善」を目指す治療
虫歯や歯周病の治療を行うと、一時的には病気が治ったように見えますが、実際には一時しのぎに過ぎません。虫歯や歯周病の原因は細菌による感染であり、虫歯の場合は糖質をエサにした細菌が酸を作り出し、歯を溶かします。また、歯周病は、歯と歯茎の間にある歯周ポケットに細菌が入り込み、炎症を引き起こすことから始まります。
そのため、当院では、虫歯や歯周病を根本的に改善することが重要だと考えています。お口の中に潜む細菌を特定し、徹底的に除去することで、再発リスクの軽減を目指しています。
歯周病・口臭の再発を防ぐ「3DS」

歯周病や口臭が再発しやすい患者様に対しては、「3DS(デンタルドラッグデリバリーシステム)」を用いた治療を行うことが可能です。3DSは、特殊な薬剤を含んだ専用マウスピースを装着し、細菌を徹底的に殺菌・除菌する方法です。これにより、歯周病や口臭の再発を防ぎ、長期的に健康な口腔内を維持することが期待できます。
費用:88,000円(税込)
※ご希望の方は、事前に歯科医師または歯科衛生士までご相談ください。
予防処置で美しい歯を
取り戻す
当院が力を入れている予防処置「PMTC」をご紹介

予防歯科のプログラムのひとつに「PMTC(プロフェッショナル・メカニカル・トゥース・クリーニング)」があります。
PMTCとは、専門家が機械を使って行う歯の清掃という意味で、虫歯や歯周病の原因となるバイオフィルム(歯の表面に付着する細菌の塊)や歯垢を取り除きます。普段の歯磨きでは落としきれない汚れが除去されるため、爽快感を感じることができます。バイオフィルムは約3ヶ月で再生されるため、定期的にPMTCを受けることをおすすめしています。
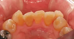
PMTCで歯垢や歯石、着色を除去した
症例
Before

After

このように、歯の色は印象を大きく左右しますので、この機会に歯科予防を始めてみてください。定期的にクリーニングを受けることで、虫歯や歯周病の予防ができ、さらに歯の白さを維持できるので、一石二鳥です。
当院では、歯を白くする方法として「審美セラミック治療」や「ホワイトニング」も行っています。これらは、さらに歯を白くすることができる治療法ですので、より美しい歯を追求されている方はそちらをご覧ください。
歯を失うことで生じる
「経済的損失」


80歳で20本以上の歯を残している「8020達成者」は、歯が少ない方に比べて入院医療費が5分の1に抑えられるという事実をご存知ですか?
さらに画像の図は、80歳の方を対象にした調査で、「歯が20本以上ある方」と「9本以下しかない方(入れ歯もしていない)」で日常生活の自立度を比較した結果です。調査によると、「歯が20本以上ある方」の約80%が日常生活を自立して行っている一方で、「9本以下しかない方」では自立しているのは約20%のみでした。
なぜこれほど差が出るのかと疑問に思われるかもしれませんが、「歯の健康」は実は「体の健康」と非常に密接に関係しています。歯を失ったままにしておくと、食べ物をしっかりと咀嚼できず、消化が悪くなります。また、噛み合わせのバランスが崩れると、歩行障害や頭痛など体にさまざまな不調が現れることがあり、医療費が増加する要因となります。歯の健康を守ることは、体全体の健康にとっても重要なことなのです。
歯科医療の本質は
「予防」にあり
虫歯や歯周病の治療は、病気を改善するために重要ですが、真に必要な治療は「病気の原因を取り除くこと」で、歯科医療の本質は「予防歯科」にあります。治療を受けた後も再発しないよう、なぜ虫歯や歯周病になったのかを考え、根本的に改善することが大切です。
多くの歯科治療では、虫歯を「削って治す」方法が取られますが、これは一時的な解決に過ぎません。虫歯の原因となる細菌を完全に取り除かなければ、再発する可能性があります。同様に、歯周病も細菌を特定して徹底的に除去しなければ、歯や顎の骨が徐々に蝕まれていきます。
当院では、再発を防ぐために、科学的根拠に基づいた根本改善のための治療を行い、予防歯科の重要性を大切にしています。